How to Deal with Gum Problems
Tags:
Your gum is one of the sensitive parts of your body that you should take care of. Gums are the one that supports and protects your teeth and the tissues that hold and connects them to the bone. When you leave your gums unhealthy, it will just mean that you will lose teeth in no time and thus you will suffer from simple to complicated problems.
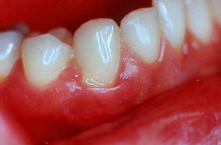
Gum problems usually start in the areas that you are not cleaning or brushing. It results to inflammation because bacteria are building up in a film on your teeth. When you feel some swelling or inflammation of your gums, this is the first warning signs of gum problems. Other symptoms you will experience when you have gum problem are redness of the gums, bleeding when flossing or brushing, receding of gumline, loose teeth, constant bad breath and mouth sores.

There are certain types of people that will be the victims of gum problems. These people are those who use tobacco products, who are pregnant, have a family history of gum problems, have diabetes, have high stress, and grinds and clenches their teeth.
Treatment of your gum problem can be consulted to Affordable Orthodontists in Houston and may be you could be introduced to remedies or quick Braces Houston. Dentists will remove the cause of the problem which is the plaque in your teeth. They will clean all the affected areas and will go down to the bottom of the pocket of your teeth where the most harmful bacteria are located. They will also look to other causes of plaque by means of taking X-rays to check bone less.
How to Manage Gum Disease
Preventing the problem is the key to battle the effects of gum problems. Preventing plaque can be achieved by some things to deal with:
· Brush your teeth twice a day with fluoride toothpaste. This will prevent the plaque to build up on your gums.
· Brushing alone is not enough. You should at least clean the areas between your teeth with interdental cleaning tools or simply dental floss. It will also get rid of plaques from building up to spaces where your toothbrush can clean or reach.
· After brushing, try also to maintain and swish at least twice a day an antiseptic mouth rinse. They are made to kill the bacteria that will cause you teeth or gum to be damaged.
· Schedule an appointment with your dentist so that you will have someone knowledgeable to help you maintain the cleanliness and healthiness of your gums.
If you tend to experience the symptoms of gum problems, do not hesitate to contact and visit your dentist. That is the most accurate thing to do in that situation. They will be the one to help you to manage the health of your gums and be the one who could assess and give you treatment base on the problem you are encountering with your gums. Also, avoid the things that may cause the problem for you to be safe.
